



2025年10月23日
今回はインプラントのお話の9回目です。
スウェーデンのブローネマルク博士による近代インプラントが臨床応用されてから、60年が経ちました。
総義歯(全く歯のない場合の入れ歯)から解放される固定式のインプラントは、当時としては斬新で画期的な治療法でした。
ただ、機能性(食べること、話すこと)の回復が主な役割で、審美性(見た目)の回復は二の次でした。

その後、部分入れ歯やブリッジの代わりの治療として前歯にも応用されるにつれ、審美性の回復が重要な課題となっていきました。
審美性の回復では、インプラントを行った部分が隣の天然歯(抜歯されていない自分の歯)と見分けがつかない状態が目標となりますが、この目標達成は決して簡単ではありません。

抜歯を行うと、歯があった周囲の骨と歯肉が必ずやせ細る(6か月で30~40%減少)ため、インプラントには長い被せ歯を連結することになります。
これを改善するための治療法が、以前の歯のコラムでお話したGBR法(骨増生法)や歯肉移植法ですが、この場合は別に手術を行う必要があります。

今回ご紹介するのは、抜歯予定の歯を事前に引っ張り上げて歯肉を増殖させる治療法です。
不思議に思われるかもしれませんが、非常に小さな力で歯を徐々に動かすと、歯は抜けることなく歯肉もくっついて動きます。
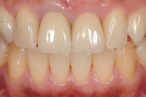
左上の前歯が折れた患者様が受診されました。
インプラント治療を希望されたため、抜歯に先立って歯根を引き上げる計画を立てました。

2か月後、抜歯と同時にインプラントの埋め込み手術を行いました。
事前に歯肉を増殖させることで、抜歯後に骨と歯肉がやせ細る現象を相殺し、隣の天然歯と見分けのつかない被せ歯を連結することができました。

今後も、患者様の状況に応じた治療法を選択し、少しでも満足していただけるよう努力していきたいと考えています。
治療後の、患者様の生活の質までを見通して、最善を尽くしたご提案をさせて頂きます。
今まで諦めていた症状などございましたら、是非一度、ご相談ください。
何でも治せる魔法はありませんが、最大限、患者様のご意向に添った治療をご提案させて頂きます。