



2025年11月20日
今回はホワイトニングのお話です。
近年は歯の審美性への関心が高まり、歯を白くするホワイトニングに興味を持つ方が増加しています。
そして、その流れに呼応するかのように、医療機関ではないエステサロンやコンビニジムでもセルフホワイトニングが行なわれていますが、両者は似て非なるものです。
効果と副作用を併せ持つ行為である以上、有資格者の管理下のもとで行われるべき治療行為であると考えています。

広い意味のホワイトニングには白い人工歯を被せる治療法も含まれますが、一般的なホワイトニングは歯を削らずに漂白剤で化学的に白くする治療法のことで、ブリーチング(漂白)とも呼ばれています。

歯の変色には様々な原因がありますが、茶渋などの飲食物やタバコのタールなどの外来色素が歯の表面に沈着した場合の変色の他に、加齢とともに生じる歯の黄ばみ、そして外傷や虫歯などで歯の神経(歯髄)が障害を受けた際に生じる、変性した歯髄組織・血液成分が原因となる歯の内側からの変色があります。
今回は、歯の内側から行うホワイトニング(別名:ウォーキングブリーチ)についてお話します。
歯科医院のチェアーに座り、歯の外側から薬剤を作用させるオフィスホワイトニングに対して、歯の裏側にあけた穴から内側に薬剤を充填し、そのまま患者さんに帰宅してもらう(歩きながら歯が漂白される)ことから、ウォーキングブリーチとも呼ばれています。

この方法では、歯の内側から長時間にわたって薬剤が作用するため、変色が強い歯でも短期間で白くなる可能性がありますが、失活歯(歯髄が除去された歯)であることが大前提となります。
そして、内側に充填した薬剤が外部に漏れ出さないように確実に密封することが極めて重要なポイントとなります。
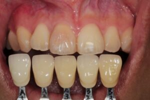
今回、右上の前歯を打撲した後から徐々に歯が変色してきた患者様が来院されました。

前医では、歯を削って白い人工歯を被せる治療法を提案されましたが、虫歯でもない歯に被せ歯をすることに抵抗感があったようです。
ウォーキングブリーチ法の利点とリスク・副作用について説明と同意を得た後に、根管治療を経て漂白を開始しました。
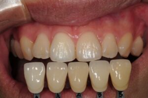
1週間後に薬剤を交換し、漂白開始から2週間後には変色歯を白くすることができました。

被せ歯にすることなく白い歯になったことで患者様の意識が向上し、今まで以上に歯磨きを頑張り、定期健診を欠かさずに受診されています。
ホワイトニングの効果・治療期間・後戻りには個人差(歯ごとの差)が大きく、的確な診断と経過観察がとても大切です。
当院ではホワイトニングのご希望をされる患者様がご来院された際は、患者様の疑問を解消し、最適なプランニングもご提案できるよう、しっかりとヒアリングの時間を設けております。
もちろん治療をお受けした際は、初回の診察だけして終了ということはなく、治療が終わるまで、綿密な経過観察もさせていただきます。
ホワイトニングにご興味をお持ちの方はもちろん、専門家に質問をして疑問を解消したい、話だけ聞いてみたいという方も、お気軽にご来院ください。