



2026年3月3日
唇にできた「しこり」や「ぷくっとした腫れ」、鏡を見るたびに「これって何?」「放っておいて大丈夫?」と不安になりますよね。
今回は、そんな口唇のトラブルで多い「粘液嚢胞(ねんえきのうほう)」について、実際の治療例を交えて分かりやすく解説します。
内容は前編・後編の2回に分けてお届けし、前編(今回)では粘液嚢胞の原因や特徴、放置するとどうなるのかについて、後編では専門的な手術のポイントや、気になる再発のリスクについて解説します。
唇の粘膜の下に、半透明で丸くぷくっとした腫れができることがあります。

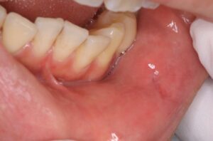
術前
これは、唇を噛むなどの刺激で唾液の通り道が傷つき、出口を失った唾液が周囲の組織の中に漏れて風船状に溜まってしまうことで生じます。
粘液嚢胞は、特にお子様や若い方の下唇(かしん)によく見られます。これは、食事中や癖で下唇を噛んでしまう機会が多いためです。

また、舌の裏側にできることもあり、この場合は「ガマ腫」と呼ばれる大きなものに発展することもあります。
お口の中には「大唾液腺」と、粘膜の下に無数に存在する「小唾液腺」があります。
下唇に多い理由は、物理的な刺激に加え、そこから分泌される唾液の性質が関係しています。
見た目は少し青みがかって見えることもありますが、細胞が増殖した癌(悪性腫瘍)とは性質が全く異なる、液体が溜まった良性の袋です。
専門の歯科医師が診ればその違いは判断できますので、まずは正しく診断を受けることが安心への第一歩となります。
粘液嚢胞は、自然に潰れて一度は小さくなることもあります。
しかし、唾液が漏れ出る根本的な原因が治っていないため、多くの場合、しばらくするとまた同じ場所に唾液が溜まって膨らんできます。
放置して何度も「腫れては潰れる」を繰り返すと、周囲の組織が硬くなったり、徐々にサイズが大きくなって違和感が強まったりすることもあります。
自然治癒することは稀なため、何度も繰り返してストレスを感じる前に、適切な処置を検討することをお勧めします。
根本的な解決には、外科的な摘出手術が必要になります。
手術自体は30〜40分ほどで終わり、ずっと気になっていた唇の違和感を短時間で解消することができます。

「唇を切る」と聞くと、形が変わってしまうのではないかと不安になりますよね。
しかし、お口の中の粘膜は非常に再生能力が高いため、心配はいりません。
術後1週間も経てば、切開した跡はわずかに確認できる程度まで回復し、腫れや赤みも落ち着いてきます。

術後1週間
唇の形が歪むこともほとんどありません。
稀に、術後しばらくは患部周辺に軽いしびれや違和感が出ることがありますが、通常は数ヶ月かけて徐々に元の感覚に戻っていきます。
「手術で本当に治るのか」「また再発しないか」と不安に思う方もいらっしゃるかもしれません。
次回の後編では、「摘出手術のポイント」や、術後の「再発リスク」について、さらに詳しく踏み込んで解説します。
どうぞ、併せてご覧ください。