



2025年10月6日
今回はインプラントのお話の8回目です。
インプラント手術を行うということは、その場所に生まれつき歯が無かった場合を除き、何らかの原因で抜歯が行なわれたことを意味します。
そして、抜歯の2大原因は虫歯(虫歯菌による感染症)と歯周病(歯周病菌による感染症)です。

虫歯も歯周病も生活習慣病の一種と考えられ、偏った食生活、飲酒、喫煙そして不十分な歯磨きが大きく関与しています。
つまり、誤った生活習慣の改善がなければ、抜歯後も残った歯に対してリスクは存続し続けます。
人工物のインプラントは虫歯にはなりませんが、歯周病(正確にはインプラント周囲炎)になります。

さらに、人工物だからこそ天然歯に比べて生体の防御反応が働きにくく、ひとたびインプラント周囲炎になると進行が速いのが特徴です。
以前の歯のコラム「歯周組織再生療法」の中でお話したように、歯周病の治療は、患者様と歯科医院の二人三脚で生活習慣改善に徹底的に取り組む必要があります。

そして、再感染の観点から、口の中を閉鎖された一つの空間と見なし、歯周病になった歯は残らず治療することが重要です。
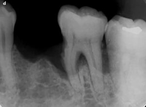
先日、他院で下顎の第2小臼歯を抜歯された患者様が、インプラント治療を希望されて来院されました。
レントゲン写真を撮影すると、隣の第1大臼歯は重度の歯周病になっていたため、抜歯の後に2本のインプラントを検討すべき状況でした。

禁煙を承諾されない状況下では歯周病治療は難しく、重度歯周病の歯の隣にインプラントを埋入した場合、早期にインプラント周囲炎になる危険性を何度も説明しました。
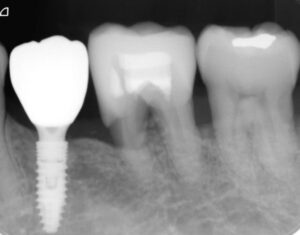
患者様の選択は、「禁煙は出来ない。その代わりに歯磨きを徹底的に頑張るので、ダメ元で第1大臼歯の歯周病治療を行い、その結果を待ってから隣のインプラント治療をして欲しい」というものでした。
患者様の願いが天に通じたのか否かはわかりませんが、予想以上に歯周組織再生治療の効果が発現し、無事にインプラント治療を行うことができました。

患者様は相変わらずヘビースモーカーのままですが、歯磨きの状況は申し分なく、定期健診にも積極的に応じています。
今後も気を緩めることなく、二人三脚でメンテナンスに取り組んでいきたいと考えています。
この患者様のケースは稀で、お口の健康のためには基本的に、禁煙をお勧めしています。
ですが、二人三脚でのメンテナンスを継続する上で、患者様本人の意思と歯科医との信頼関係は非常に重要なものになります。
気になる症状がありましたら、まずは一度、ご相談下さい。
よりご希望に沿った治療ができるよう尽力致します。