山口県防府市の歯医者「しまだ歯科医院」です

しまだ歯科医院
0835-25-0118
  • アクセス
しまだ歯科医院
しまだ歯科医院

歯のコラム

2026年3月27日

「歯を抜いた後、特に不自由がないから」と数年間そのままにしていませんか。

実は、欠損部を放置することは、お口全体の健康を崩壊させる「ドミノ倒し」の始まりに他なりません。

今回は、抜歯後に適切な処置を受けずに経過した際の典型的な症例写真をもとに、そのリスクと治療の選択肢を詳しく解説します。

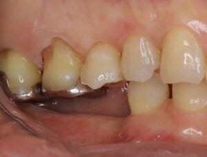
抜歯後に適切な処置を受けずに経過した歯

症例写真

抜歯放置によって生じる主なリスク

対合歯の挺出(ていしゅつ)

症例写真で最も顕著に表れているのが、上の歯(上顎臼歯)が下の隙間に向かって伸びてきている「挺出」という現象です。

対合歯の挺出

本来あるべき位置から歯が逸脱するため、将来的に下の歯を補綴(インプラントや入れ歯など)しようとした際、上の歯が邪魔をして十分なスペースが確保できなくなります。

最悪の場合、伸びすぎた上の歯を大幅に削ったり、歯の神経の処置や歯の周りの骨の処置が必要になったりすることもあります。

隣接歯の傾斜と移動

欠損部分の前後にある歯が、支えを失って空いたスペースに倒れ込んでくる現象です。

隣接歯の傾斜と移動

歯が斜めに傾くと噛み合わせの軸が狂い、特定の歯に過剰な負担がかかります。

また、歯の傾斜や移動によって生じた隙間に食べカスが詰まりやすくなるため、虫歯や歯周病の二次的なリスクが急増する原因となります。

顎堤(歯ぐきの骨)の吸収

噛む刺激が伝わらなくなった場所の骨は、使われないことで徐々に痩せて(吸収して)いきます。

顎堤(歯ぐきの骨)の吸収

骨が薄くなると、将来いざインプラント治療を希望しても、骨移植などの高度な手術が必要になったり、入れ歯を作るにしても、入れ歯の安定が悪くなったりと、治療の難易度が格段に上がってしまいます。

噛み合わせ(咬合)の崩壊

一部の歯が動くことで、お口全体の「噛み合わせの高さ」や「顎の動き」に狂いが生じます。

これは単なる見た目の問題ではなく、顎関節症(あごの痛みや音)を引き起こしたり、反対側の健康な歯に負担が集中してその寿命を縮めたりする原因となります。

今後の治療の選択肢

この状態から健康な口腔内環境を取り戻すには、一般的に以下のような処置が検討されます。

  • インプラント:骨の状態を確認した上で人工歯根を埋め込み、独立した歯を再建します。
  • ブリッジ:両隣の歯を削り、橋渡しのように人工歯を固定します。隣の歯にすでに被せ物がある場合は検討しやすいですが、歯の傾斜が強いと困難な場合があります。
  • 入れ歯(義歯):取り外し式の装置で欠損部を補います。

※本症例における注意点 この症例写真の例では、すでに上の歯がかなり挺出しているため、下の歯の治療を行う前に「上の歯の形を整える(削る、または矯正で元の位置に戻す)」処置がセットで必要になる可能性が高いです。

放置が続けば続くほど、お口の環境は悪化し、結果として治療の難易度と費用が上がってしまいます。

「まだ大丈夫」と思わず、まずは歯科医院で「現在の噛み合わせのバランス」をチェックすることをお勧めします。

手遅れになる前に、適切なケアで大切なお口の健康を守りましょう。

«